martedì 1 novembre 2016

Condilomi acuminati pene

Quando i condilomi acuminati non creano alcun disturbo, al di fuori di quello estetico, molto probabilmente la lesione scompare entro pochi giorni, senza necessità di trattamento specifico. In caso contrario, vale a dire quando il condiloma acuminato crea irritazione, fastidio, bruciore e dolore nella sede genitale, è raccomandato un. Condilomi acuminati - Farmaci per la Cura dei Condilomi acuminati.


Si sviluppa attraverso il contatto diretto cute-cute durante il sesso orale, vaginale o anale con un partner infetto. Non tutti i soggetti affetti da HPV manifestano condilomi , in alcuni casi infatti l’infezione decorre in modo del tutto asintomatico.

Quando presenti, le verruche genitali possono colpire qualsiasi mucosa (bocca, pene , grandi labbra e vagina, ano) e presentarsi singolarmente o, più spesso, a grappoli. Negli uomini è più probabile trovarle sul pene , sullo scroto, sull’inguine, sulle cosce e sul glande. Sintomi più comuni del Condiloma Acuminato.


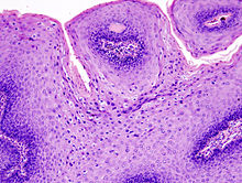
A causare i condilomi acuminati è il Papilloma Virus, di cui ne esistono più di 1forme, e il contagio avviene per trasmissione sessuale. I condilomi acuminati , conosciuti anche con il nome di verruche genitali, sono neoformazioni verrucose dalla consistenza più o meno morbida e carnosa, di un colore che va dal roseo al brunastro e dall’aspetto simile a quello della cresta di un gallo. Vediamo quali sono i suoi sintomi e come si trasmette, e in che modo si può intervenire.


Il condiloma è un’infezione da virus che colpisce gli organi genitali. Viene anche chiamato con altri tipi di nome, come verruca genitale, ma anche anale, venerea e anogenitale.

Descrizione dei condilomi. Al contrario dei condilomi , le papule perlacee peniene NON sono infette né possono contagiare il partner. Le papule perlacee devono essere distinte dai fibromi penduli (comunemente chiamati “porri”), dai condilomi acuminati (comunemente detti “verruche genitali”) e dai nei, con cui a volte vengono confusi. Vero, perché si è osservato come vi sia un legame tra alcuni tipi di HPV (1 18)) e tumori dell’utero, dell’ano, del pene e della vulva.


Infatti alcuni tipi di HPV , come quelli indicati prima, possono stimolare la comparsa di un tumore. Quindi la presenza dei condilomi acuminati è indice di rischio tumore? In questo articolo ci occuperemo della forma più diffusa di condiloma : i condilomi acuminati , escrescenze verrucose diffuse soprattutto nella regione vulvare femminile, sul pene , nella zona perianale (attorno all’ano) o nella zona del solco intergluteo (il solco tra gluteo destro e sinistro). I condilomi , tuttavia, non procurano dolori e non sono una minaccia grave per la salute della persona. Le creste di gallo, nella terminologia scientifica definite condilomi acuminati , sono infezioni che si trasmettono per via sessuale e che provocano escrescenze sui genitali e sull’ano.


Sia pure raramente, alcuni ceppi del virus HPV potrebbero provocare alterazioni a livello cellulare e favorire l’insorgere di alcune forme di cancro, specialmente al collo dell’utero, alla vulva e all’ano, mentre non è certo che il virus sia responsabile anche del tumore del pene. In gravidanza i condilomi tendono ad accrescere di. Quindi si è appurato che è stato contagiato dal Papilloma Virus. In ospedale gli hanno detto che non è niente di grave e di stare tranquillo.


Esse sono dovute alla presenza nell’organismo del virus HPV il quale può rimanere nell’ organismo latente per anni senza dare segni e senza manifestarsi. I condilomi acuminati , però, possono risultare piuttosto imbarazzanti ed esteticamente fastidiosi al punto da creare dei veri e propri disagi psicologici negli uomini che ne sono affetti (anche se il problema può riguardare pure le donne). Esiste una correlazione tra condilomi ed alcuni tipi di cancro?


Sicuramente esiste un legame tra condilomi e cancro, soprattutto nei casi di tumori del cavo orale o laringei, che un tempo si pensavano correlati al fumo.

Va da sé che anche alcuni cancri della vulva e del pene sono associati alla presenza di HPV. I condilomi , chiamate verruche genitali, sono dei piccoli tumori cutanei che si localizzano a livello degl’organi genitali o all’estremità dell’ano. Esse sono legate al papilloma virus ( HPV ), ad origine sessualmente trasmissibile. Esistono diversi tipi di condilomi , condilomi acuminati , verruche papulose e verruche piane.


CONDILOMI DI COPPIA a cura del dermatologo Dott. Gaetano Scanni, Bari.

Nessun commento:

Posta un commento

Nota. Solo i membri di questo blog possono postare un commento.

Post più popolari